Centre for ENT care and surgery

LaryngologyLooking after your voice

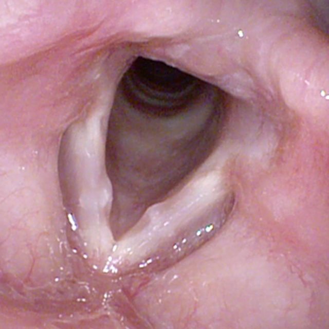
Laryngology

Your voice is your identity. Any change in voice can lead to anxiety and affect your social life. A simple change in voice can also be a sign of laryngeal cancer. We provide state of the art diagnosis of all voice, swallowing and throat related problems. At our centre we have the latest laser technology and endoscopes to diagnose and treat all throat and airway related problems. We perform surgeries that can improve voice and swallowing. We offer solutions for various conditions including vocal cord palsy, spasmodic dysphonia, sub-glottic and tracheal stenosis, benign and malignant laryngeal lesions, and airway foreign bodies.

Common ailments:
Throat pain
Change in voice
Difficulty in breathing
Laboured breathing in new borns and children
Thyroid enlargement

Our facilities:
Rigid and flexible laryngoscopy
Transoral laser surgery
Microlaryngeal surgery
Thyroplasty
Phonosurgery
Fat augmentation of vocal cords
Thyroidectomy
Swallowing evaluation and management
Botox Injections